
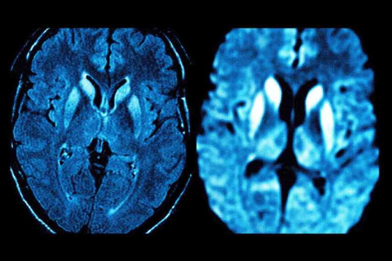
A brain scan of a patient with the degenerative disorder Creutzfeldt-Jakob disease (CJD). Health authorities say an unexplained brain illness investigated in New Brunswick has symptoms similar to CJD. (By BSIP/Getty Images
A New Brunswick investigation into a suspected brain disease has found no evidence of widespread environmental exposure contributing to neurological symptoms reported by hundreds of patients.
New Brunswick chief medical officer of health Dr. Yves Léger published the final report on the investigation into 222 cases of “undiagnosed neurological illness” on Jan. 23.

